What is the largest country in Southwest and Central Asia
Saudi Arabia is the largest country by area in Southwest Asia. Saudi Arabia is a nation largely covered by desert, and its capital is Riyadh.
Saudi Arabia is the largest country by area in Southwest Asia. Saudi Arabia is a nation largely covered by desert, and its capital is Riyadh.
Theology differs from religious studies in that it focuses more closely on the study of God and faith rather than in the critical investigation of religions.
Growing blackberries and raspberries together is an excellent option to enjoy both tasty fruits. Just ensure that your garden and climate are compatible with
If you sell your mineral rights, you are gambling that the one-time payment you receive is worth more than the potential future value of the minerals. When
AWS CodeBuild is a fully managed continuous integration service that compiles source code, runs tests, and produces software packages that are ready to
Check the pulse in the infant using the brachial artery on the inside of the upper arm between the infant’s elbow and shoulder.
She is Cassio’s jealous lover. Despite her brief appearance on stage, Bianca plays a significant role in the progress of Iago’s scheme to make
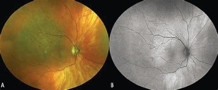
The choroid is a thin, variably pigmented, vascular tissue forming the posterior uvea. It joins the ciliary body anteriorly and lies between the retina and
Most lawns need 1 to 1.5 inches of water per week—either from rain or watering—to soak the soil that deeply. That amount of water can either be applied du...
Native name: 硫黄島PopulationNo native population (military personnel only)
You will know when a blood orange is ripe by its look and feel. A ripe blood orange will be about the size of a tennis ball and feel weighty in the palm of
Our top pick for the best pesticide is the Compare-N-Save Systemic Tree and Shrub Insect Drench. A highly all-round pesticide, this easy-to-use concentrat...